Pulmolozi objašnjavaju kako korona ubija kad stigne u pluća
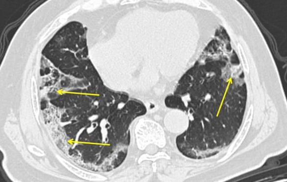
Životi, koje je od decembra 2019. do danas odnio koronavirus, podlegli su bolesti onog…
Životi, koje je od decembra 2019. do danas odnio koronavirus, podlegli su bolesti onog…
Portal www.olovka.info je postavljen tako da „prihvatate” sve kolačiće kako bismo poboljšali funkcionalnost i omogućili svim posjetiocima najbolje korišćenje. Ukoliko nastavite korišćenje bez promjene ovih podešavanja saglasni ste sa pravilima korišćenja. Klikom na polje "Prihvatam" pristajete da koristite naše kolačiće, osim ukoliko ih niste onemogućili. Čitaj dalje...